Trachten
Bildgebung
Echokardiographie
In unserer Praxis werden alle etablierten und modernen echokardiographischen Verfahren eingesetzt, um eine optimale Diagnostik des Herzens zu ermöglichen:
- transthorakale 2D- und 3D- Farbdoppler-Echokardiographie („normales Echo“, TTE)
- multiplane transösophageale 2D- und 3D- Farbdoppler-Echokardiographie („Schluckecho“, TEE)
- Stressechkardiographie (auf dem Fahrradergometer oder pharmakologisch mit Dobutamin)
- Kontrastmittelechokardiographie (Links- und Rechtsherzkontrastechokardiographie, Perfusionsechokardiographie)
- Gewebedoppler
- Myokardiale Deformationsbildgebung (2D- Strain Imaging)
- Koronarsonographie (Ultraschall der Herzkranzgefäße)
Um modernste echokardiographischen Verfahren durchführen zu können, stehen moderne High-End-Ultraschallsysteme (GE Vivid E95) zur Verfügung.
Die transthorakale 2D-Echokardiographie (2D-TTE) ist die am häufigsten angewandte echokardiographische Methode.
Für die Darstellung des Herzens wird der Schallkopf von außen auf den Brustkorb aufgesetzt. Mit Ultraschall werden Schnittbilder des Herzens erzeugt. Durch Einsatz zusätzlicher Verfahren wie der M-Mode Technik zur Vermessung des Herzens sowie der Dopplertechnik zur Erfassung der Flussrichtung und Flussgeschwindigkeit des Blutes im Herzen sowie in den angrenzenden Blutgefäßen können u.a. folgende Aussagen über das Herz getroffen werden:
- Größe der Herzhöhlen und Herzstrukturen bzw. krankhafte Veränderungen
- Funktion des gesamten Herzmuskels sowie von einzelnen Regionen (globale und regionale Funktionsanalyse, Ausschluss einer Herzschwäche)
- Beurteilung der Anatomie und Funktion der Herzklappen
- Erfassung von Herzfehlern
- Beurteilung der Anatomie und von Veränderungen der angrenzenden Blutgefäße
Die Darstellung der Herzstrukturen und der Funktion des Herzmuskels sowie der Herzklappen erlaubt z.B. die Erkennung einer Herzmuskelschwäche oder eines abgelaufenen Herzinfarktes. Es können Herzklappenfehler (z.B. Verengungen („Stenosen“) oder Undichtigkeiten („Insuffizienzen“) festgestellt werden. Zusätzlich lassen sich Herzfehler (z.B. „Vorhof- oder Ventrikelseptumdefekt“), Flüssigkeitsansammlungen im Herzbeutel („Perikarderguss“) oder einer Erweiterung der Hauptschlagader kurz nach Abgang aus dem Herzen („Aortenaneurysma“) diagnostizieren. Auch die Nachsorge von operierten Herzklappen (z.B. nach Rekonstruktion oder Klappenersatz) bzw. nach Herzklappeneingriffen in Kathetertechnik (z.B. „MitraClip“ oder „TAVI“) ist möglich.




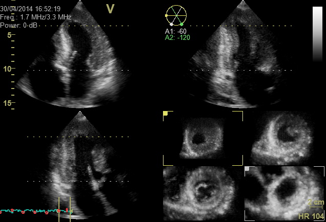
Die transthorakale dreidimensionale Echokardiographie (3D-TTE) liefert bei bestimmten Fragestellungen Zusatzinformationen zur transthorakalen zweidimensionalen Echokardiographie (2D-TTE).
Mit der transthorakalen 3D-Echokardiographie wird ein kompletter Volumendatensatz des gesamten Herzens aufgenommen, der eine räumliche Ansicht verschiedener Herzstrukturen erlaubt. Dadurch können z.B. Herzklappen räumlich so dargestellt werden, wie sie ein Herzchirurg im Rahmen einer Herzklappenoperation sieht. Nach einer MitraClip Implantation kann die Ausrichtung und Lage des Clips an der Mitralklappe gut dargestellt werden. Auch Messungen an der Hauptschlagader werden erleichtert, da eine genaue Ausrichtung der zu messenden Strukturen möglich ist. Es können zudem Informationen über die Herzmuskelmasse z.B. bei einem durch Bluthochdruck verdickten Herzmuskel („Hochdruckherz“) gewonnen werden.


Bei der transösophagealen Echokardiographie wird das Herz aus der Speiseröhre (Ösophagus) und dem Magen heraus geschallt. Von dort können einige Strukturen des Herzens dargestellt werden, die in der transthorakalen Echokardiographie von außen nicht ausreichend gut sichtbar sind. Daneben erlaubt die höhere Schallfrequenz des Schallkopfes sowie die direkte Lage hinter dem Herzen – ohne Luftüberlagerung durch die Lunge – eine bessere Detaildarstellung einzelner Herzanteile (z.B. der Mitralklappe oder des linken Herzohrs). In unserer Praxis wird eine multiplane, transösophageale Echokardiographie durchgeführt, bei der der Schallkopf das Herz aus verschiedenen Richtungen anschallen kann.
Für die transösophageale Echokardiographie ist eine spezielle Vorbereitung erforderlich. Da eine Sonde in Speiseröhre und Magen eingeführt wird, ist eine Aufklärung und schriftliche Einverständniserklärung (mindestens 24 Stunden vor der Untersuchung) notwendig. Für die Untersuchung müssen die Patienten nüchtern sein (4 Stunden vor der Untersuchung kein Essen, Trinken, Rauchen). Die Untersuchung wird mit einer oberflächlichen Betäubung des Rachens und bei Bedarf auch mit beruhigenden/schlafauslösenden Medikamenten (keine Narkose) durchgeführt. Die Untersuchungsdauer liegt bei ca. 10-20 Minuten. Danach ist aufgrund der Rachenbetäubung über weitere 1-2 Stunden Nüchternheit notwendig. Wenn Beruhigungsmedikamente eingesetzt wurden, ist nach Ablauf einer ausreichenden Wartezeit in der Praxis eine Begleitung für den Weg nach Hause notwendig. Am Untersuchungstag ist dann keine Geschäftsfähigkeit gegeben und es darf kein Auto gefahren werden.
Kontrastmittel, die nur auf der rechten Herzseite einen Kontrast erzeugen, werden insbesondere in der transösophagealen Echokardiographie eingesetzt, um Kurzschlussverbindungen im Herzen (sogenannte Shunts) mit Übertritt von Blut von der rechten auf die linke Herzseite zu diagnostizieren. Eine typische Fragestellung ist z.B. der Ausschluss eines offenen Foramen ovale (kleines Loch in der Vorhofscheidewand, „PFO“), bei der Suche nach Ursachen für einen Schlaganfall.
Da derzeit kein kommerziell vertriebenes Ultraschallkontrastmittel für die rechte Herzseite vorhanden ist, wird Gelafundin®zur Kontrastierung eingesetzt.
Bei der multiplanen transösophagealen zweidimensionale Echokardiographie (2D-TEE) werden wie bei der zweidimensionalen transthorakalen Echokardiographie Schnittbilder des Herzens erzeugt und zur weiteren Funktionsanalyse insbesondere die oben aufgeführten unterschiedlichen Doppler-Techniken verwendet.
In der multiplanen transösophagealen dreidimensionalen Echokardiographie (3D-TEE) kann ein Volumendatensatz des gesamten Herzens aufgenommen werden. Hieraus werden die Herzstrukturen dann wirklichkeitsgetreu räumlich dargestellt. Das erlaubt eine besonders akkurate Planung von speziellen Herzkathetereingriffen (z.B. Verschluss des linken Herzohres, MitraClip Implantation), aber auch eine optimale Vorbereitung von herzchirurgischen Eingriffen.
Häufige Fragestellungen für einen Einsatz der transösophagealen Echokardiographie sind der Ausschluss von Blutgerinnseln (Thromben) im linken Vorhof und im Herzohr vor einer Kardioversion oder die Suche nach Emboliequellen aus dem Herzen nach Schlaganfall. Bei der Diagnostik einer bakteriellen Entzündung (Endokarditis) von Herzklappen oder Klappenprothesen, der Beurteilung des Schweregrades einer Aortenklappenstenose (Einengung der Aortenklappe) sowie bei der genauen Darstellung von krankhaften Veränderungen an Herzklappen (z.B. eines Sehnenfadenabrisses an der Mitralklappe) ist die transösophageale Echokardiographie heutzutage unverzichtbar.





Bei der Stressechokardiographie wird eine transthorakale Echokardiographie in Ruhe und unter Belastung (auf dem Fahrradergometer oder pharmakologisch mit Dobutamin) durchgeführt. Die Stressechokardiographie wird in der weitergehenden Diagnostik der koronaren Herzkrankheit (z.B. Verdacht auf eine Durchblutungsstörung am Herzen, Kontrolle nach Stentimplantation oder Bypassoperation, Kontrolle nach Herzinfarkt) eingesetzt.

Die ergometrische Stressechokardiographie ähnelt einem Belastungs-EKG. Es wird mit Registrierung eines EKG`s eine ansteigende Belastung über ca. 10 Minuten in halbliegender, manchmal auch etwas gekippter, Position durchgeführt. Im Unterschied zum Belastungs-EKG werden in der Stressechokardiographie aber in Ruhe und unter Belastung zusätzlich echokardiographische Bildschleifen abgeleitet und digital gespeichert. Diese Bildschleifen werden nach der Untersuchung miteinander verglichen. Eine Durchblutungsstörung am Herzen zeigt sich typischerweise bei zunehmender Belastung als Störung der Pumpfunktion des Herzens in dem minderdurchbluteten Bereich.

Falls eine Belastung auf dem Fahrradergometer, z.B. aufgrund orthopädischer Probleme, nicht möglich sein sollte, kann eine pharmakologische Untersuchung ohne körperliche Belastung durchgeführt werden. Da ein Medikament (Dobutamin) infundiert wird, ist eine Aufklärung und schriftliche Einverständniserklärung (mindestens 24 Stunden vor der Untersuchung) notwendig. In unserer Praxis wird hierfür eine Dobutamin-Infusion in steigender Dosis (manchmal kombiniert mit der Gabe von Atropin) über ca. 10 Minuten vorgenommen, um das Herz entsprechend einer körperlichen Belastung zu stimulieren. Für die Untersuchung sollte der Patient ca. 2 Stunden nüchtern (kein Essen, Trinken oder Rauchen) sein. Nach der Untersuchung dauert es in der Regel nur einige Minuten, bis die Wirkung der Medikamente abgeklungen ist. Die Patienten bleiben nach der Untersuchung mindestens 30 Minuten in unserer Praxis. Falls Atropin eingesetzt wurde, darf für einige Stunden kein Auto gefahren werden, da das Sehvermögen vorübergehend beeinträchtigt sein kann.
Medikamente (insbesondere ß-Blocker wie z.B. Metoprolol, Bisoprolol, Nebivolol, Atenolol, Propanolol oder Carvedilol) sollten in Absprache mit dem Arzt vor der ergometrischen bzw. pharmakologischen Stressechokardiographie pausiert werden.
Weitere Indikation für die Durchführung einer Stressechokardiographie kann die weitergehende Einschätzung von Herzklappenfehlern, speziellen Herzmuskelerkrankungen (z.B. HOCM) oder der globalen Pumpfunktion des linken Herzens unter Belastung sein.
Sollte die Ableitqualität der Ultraschallbilder eingeschränkt sein, kann eine Stressechokardiographie zur Verbesserung der diagnostischen Genauigkeit auch unter Einsatz von Linksherzkontrastmittel durchgeführt werden (siehe bitte unten).
Um Informationen über eine Durchblutungsstörung am Herzen zu gewinnen, können eine Koronarsonographie und Perfusionsechokardiographie unter Einsatz von Adenosin und Linksherzkontrastmittel durchgeführt werden, wenn eine eingeschränkte Ableitqualität der Ultraschallbilder vorliegt, die den Einsatz des Ultraschallkontrastmittels rechtfertigt.
In der Koronarsonographie können in Einzelfällen Herzkranzgefäße (Koronarien) in bestimmten Abschnitten und der Blutfluss in ihnen dargestellt werden. Einengungen der Herzkranzgefäße selbst können in der Regel nicht dargestellt werden. Auch bei dieser Untersuchung wird das Herz medikamentös belastet. Mit Hilfe des Medikaments Adenosin werden während der Untersuchung die Herzkranzgefäße kurzzeitig erweitert. Erkrankte Gefäße, bei denen eine bedeutsame Einengung vorliegt, können nicht ausreichend erweitert werden, so dass der übliche Anstieg des Blutflusses unter Adenosin (sog. Flussreserve, Anstieg um ca. das 2-4fache zum Ruhewert) nicht vorhanden ist. Dadurch können Rückschlüsse auf Durchblutungsstörungen gewonnen werden. Durch Einsatz eines Linksherzkontrastmittels kann die Koronarsonographie erleichtert werden.
Weiterhin kann auch durch Einsatz eines Linksherzkontrastmittels die Durchblutung (Perfusion) des Herzmuskels sichtbar gemacht werden. In Bereichen mit verminderter Durchblutung im Herzmuskel bzw. bei Vorliegen von Narben stellt sich eine verminderte Kontrastierung im Vergleich zu anderen Segmenten des Herzmuskels dar.
Ultraschallkontrastmittel sind chemisch nicht mit Kontrastmittteln für die Röntgendiagnostik (z.B. Herzkatheter, Computertomographie, Magnetresonanztomographie) verwandt. Sie werden für besondere Fragestellungen oder bei eingeschränkter Ableitqualität der normalen Ultraschallbilder, sowohl bei der transthorakalen als auch bei der transösophagealen Echokardiographie eingesetzt. Als Nebenwirkung der eingesetzten Kontrastmittel, die intravenös verabreicht werden, können allergische Nebenwirkungen auftreten. Kontrastmittel, die nur für die rechte Herzseite (Rechtsherzkontrastmittel) eingesetzt werden, können den Lungenkreislauf nicht passieren und deshalb die linke Herzseite nicht erreichen. Linksherzkontrastmittel sind lungengängig und kontrastieren die rechte und linke Herzseite. Da das Kontrastmittel intravenös verabreicht wird, erfolgt in unserer Praxis eine Aufklärung und schriftliche Einverständniserklärung (mindestens 24 Stunden vor der Untersuchung) über den Einsatz eines Ultraschall-Kontrastmittels.
Linksherzkontrastmittel werden vor allem in der transthorakalen Echokardiographie eingesetzt, um bei eingeschränkt schallbaren Patienten eine verbesserte Darstellung insbesondere der linken Herzkammer zu erreichen (verbesserte Diagnostik von Störungen der Pumpfunktion). Es kann auch verwendet werden, um Strukturen wie z.B. ein Blutgerinnsel nach einem ausgedehnten Vorderwandinfarkt zu erkennen. Als Kontrastmittel wird SonoVue® eingesetzt.
Eine zusätzliche Einsatzmöglichkeit der Linksherzkontrastmittel ist die Koronarsonographie (s. unten).
Kontrastmittel, die nur auf der rechten Herzseite einen Kontrast erzeugen, werden insbesondere in der transösophagealen Echokardiographie eingesetzt, um Kurzschlussverbindungen im Herzen (sogenannte Shunts) mit Übertritt von Blut von der rechten auf die linke Herzseite zu diagnostizieren. Eine typische Fragestellung ist z.B. der Ausschluss eines offenen Foramen ovale (kleines Loch in der Vorhofscheidewand, „PFO“), bei der Suche nach Ursachen für einen Schlaganfall.
Da derzeit kein kommerziell vertriebenes Ultraschallkontrastmittel für die rechte Herzseite vorhanden ist, wird Gelafundin®zur Kontrastierung eingesetzt.

Mit dem Gewebedoppler und der Deformationsbildgebung kann die Funktion des Herzmuskels dargestellt werden.
Der Gewebedoppler misst die Geschwindigkeit, mit der sich der Herzmuskel in allen Phasen des Herzzyklus zusammenzieht und entspannt. Der Gewebedoppler wird überwiegend eingesetzt, um Informationen über die Herzfunktion in der Entspannungsphase zu erhalten (z.B. Steifigkeit der linken Herzkammer). Eine erhöhte Steifigkeit des Herzmuskels ist z.B. eine mögliche Ursache einer Herzschwäche.
Beim 2D-Strain Imaging wird aus dem 2-dimensionalen Ultraschallbild die Formänderung des Herzmuskels bei seiner Arbeit berechnet. Mit diesem Verfahren können Informationen bereits über leichte Funktionsstörungen der linken Herzkammer gewonnen werden. Da die Untersuchungsergebnisse in Zahlenwerten ausgegeben werden, lassen sich die Werte im Verlauf auch gut vergleichen (z.B. bei einer Chemotherapie, die den Herzmuskel schädigen kann, oder bei einer Herzmuskelentzündung).



Gefäßdiagnostik
Zusätzlich zu den beschriebenen Ultraschalluntersuchungen des Herzens bieten wir auch die sogenannte Duplexsonographie der Halsschlagadern (extrakranielle hirnversorgende Arterien) an. Mit dieser Methode werden die Schlagadern im Halsbereich untersucht werden, die den Kopf mit Blut versorgen. Es können u.a. Veränderungen durch Ablagerungen (Arteriosklerose) sowie Einengungen und Verschlüsse der Arterien dargestellt und Kontrollen nach Gefäßoperationen und Interventionen (Stentimplantation) vorgenommen werden.